GIGI TIRUAN
Kembalikan gigi indahmu seperti dulu
Lebih nyaman dan tenang membuat gigi tiruan di IGGI Dental karena dikerjakan oleh dokter gigi spesialis prostodonsia.


Satu Gigi Hilang Tidak Masalah?
Bahaya tersembunyi dari kehilangan 1 gigi saja yaitu gigi bergeser, penurunan gusi, gangguan fungsi kunyah.
IGGI DENTAL Klinik


Crown Porcelain


Crown Implant


Gigi Tiruan
PERAWATAN GIGI

Crown
Crown adalah selubung mahkota yang menyelimuti gigi yang rusak

Bridge Crown
Jembatan gigi yang digunakan untuk menggantikan gigi yang hilang.

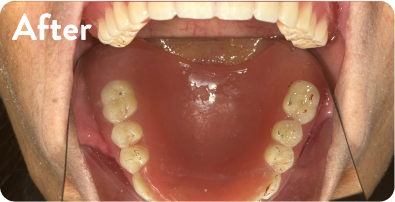
Gigi Tiruan
Gigi tiruan adalah pengganti gigi yang hilang sebagian atau seluruhnya.

Implant
Pemasangan gigi tiruan dengan penanaman akar gigi buatan

DENGAN GIGI TIRUAN,
KUALITAS HIDUP MAKIN BAIK.

Solusi gigi sehat untuk seluruh anggota keluarga Anda. Dengan dokter spesialis yang berpengalaman.
Pelayanan terbaik adalah prioritas kami. Customer merasa nyaman dan tenang adalah tujuan kami.
Tenang, tidak perlu khawatir lagi. Semua proses dan biaya transparan. Tidak ada lagi kejutan biaya.
IGGI DENTAL Frequently Asked Questions
Kapan seseorang membutuhkan Crown?
Jika gigi rapuh, sudah ditambal besar, atau setelah perawatan saluran akar agar gigi lebih kuat.
Mana yang lebih tahan lama, Bridge atau Implant?
Pemasangan Implant lebih tahan lama (bisa puluhan tahun) karena ditanam langsung ke tulang rahang seperti akar gigi. Sedangkan Bridge tergantung pada kesehatan gigi penyangga.
Apakah semua orang bisa pasang implant?
Tidak semua. Kondisi tulang rahang, kesehatan umum, dan kebiasaan (misalnya merokok) harus dievaluasi dulu oleh dokter gigi.
Apakah gigi palsu nyaman digunakan?
Memakai gigi palsu membutuhkan waktu adaptasi. Gigi palsu saat ini sudah lebih tipis dan nyaman, tapi tetap tidak senyaman gigi asli atau implant.
We also accept payments via


IGGI Dental Clinic
Menghadirkan Layanan Profesional
Kami berkomitmen memberikan perawatan terbaik tanpa membebani biaya, memastikan senyum sehat tetap mudah dijangkau!

