Pemutihan Gigi
Membuat gigi lebih putih dan cerah alami
hanya dengan 1 Kali Kunjungan

IGGI DENTAL Klinik


External Bleaching


Internal Bleaching
+60 Menit

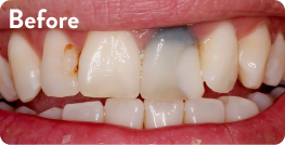
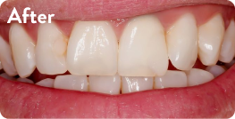
Internal Bleaching
Prosedur memutihkan gigi dari dalam. Biasanya dilakukan pada gigi dengan kondisi syaraf yang sudah mati dan berubah warna.
Free Basic Tambal
60+30 Menit

External Bleaching
Prosedur memutihkan gigi dari luar dengan bahan berkualitas. Gigi putih alami hanya dalam 1x kunjungan.
Free Basic Scalling
SETIAP SENYUMAN ADALAH UNIK
Setiap orang memiliki senyuman yang unik begitu juga dengan gigi. Hasil pemutihan gigi dapat bervariasi tergantung dari anatomi gigi, umur, pola makan dan pola hidup setiap individu.


Solusi gigi sehat untuk seluruh anggota keluarga Anda. Dengan dokter spesialis yang berpengalaman.
Pelayanan terbaik adalah prioritas kami. Customer merasa nyaman dan tenang adalah tujuan kami.
Tenang, tidak perlu khawatir lagi. Semua proses dan biaya transparan. Tidak ada lagi kejutan biaya.
IGGI DENTAL Frequently Asked Questions
Apakah makanan/minuman bisa membuat gigi kuning?
Bisa, seperti minuman berwarna seperti kopi, teh atau makanan berwarna pekat (kari, kecap, saus tomat). Tidak hanya makanan/minuman, kebiasaan seperti merokok juga dapat meninggalkan noda pada gigi.
Apakah bleaching gigi aman dan dapat membuat gigi menjadi lebih sensitif?
Aman bila dilakukan oleh dokter gigi dengan bahan dan teknik yang benar. Sensitivitas sementara kadang muncul, tapi biasanya hilang dalam beberapa hari.
Berapa lama hasil bleaching bisa bertahan?
Rata-rata 6 bulan – 2 tahun, tergantung pola makan, gaya hidup (misalnya merokok, kopi/teh), dan perawatan kebersihan gigi.
Apakah bleaching bisa dilakukan pada semua orang?
Tidak. Pasien dengan gigi sensitif, gigi berlubang, atau penyakit gusi biasanya perlu perawatan lain dulu sebelum bleaching.
We also accept payments via


PERAWATAN GIGI TIDAK PERNAH SENYAMAN INI!
Ingin memutihkan gigi dengan cara lain?

